Maintaining good oral hygiene is a very important criteria for healthy gums. Gums are the tissues which envelops the teeth and the bone holding them. Proper maintenance of gums is very important for teeth to have a tight grip. Gum/Gingiva holds the teeth and bone like a blanket.
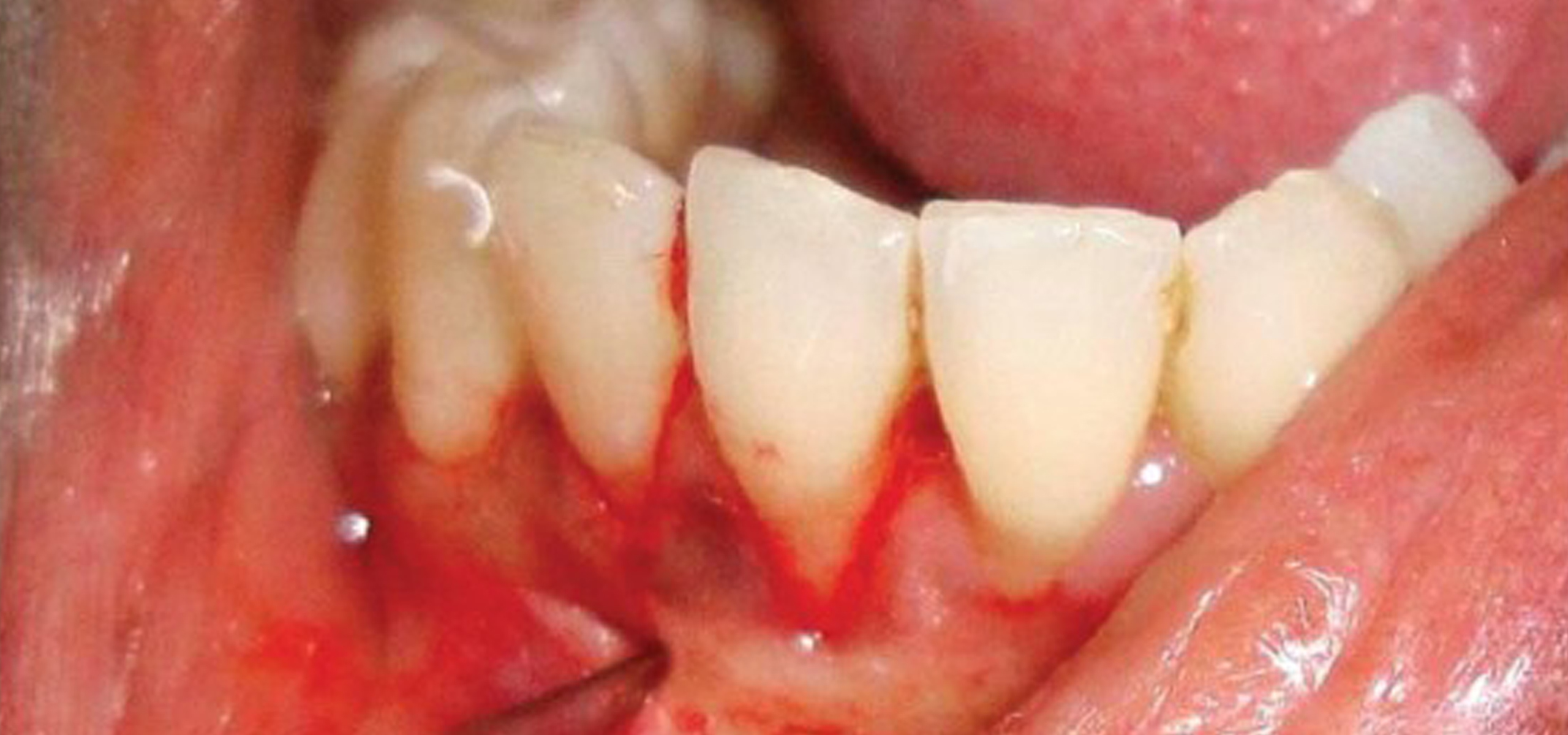
Swollen gums can represent an abnormality called gingivitis which is also associated with reddishness of gums and bleeding. Loss of bone along with swollen and spongy gums indicates a condition called Periodontitis.
Treatments available for Gum diseases:
Non- surgical treatment
Non- surgical treatment involves Scaling and Sub gingival curettage. Scaling is done on supra-gingival tooth structure (tooth which appear above the gum); Sub-gingival curettage is done under the gum on the root of the tooth. Specialized instruments are used to remove the plaque/calculus under the gums. Plaque builds on the exposed root surfaces mostly in the areas where gum is damaged. In this condition the gum tends to swell, inflame and bleed. Sub-gingival curettage is the treatment option in this condition. Where the root surfaces are inspected and cleaned.
surgical treatment
Surgical treatment of gums will be preferred when extent of damage of gums and supporting bone seems to be high. Destruction of supporting structures of tooth as mentioned above, due to infection shows symptoms like pain, swelling, reddishness, bleeding, bad breath etc.
Surgery involves usage of high precision instruments, which are meant to curette/clean the underlying bone and gums. An incision or surgical cut is placed on the gums to be treated, to reflect the gums away from tooth and bone. Once the procedure of removal of infection is accomplished, reflected gum is adopted back on the bone and teeth with the help of sutures.
Extent of damage of gum determines the extent of the surgical site; if localized, surgery can be done to that area alone. If the damage of the bone is along both upper and lower jaws then full mouth surgical curettage procedure is needed to be done.
Above mentioned are the conventional methods followed, but better results are obtained by the use of laser treatments. The feedback from most of the patients treated by Laser is excellent. For patients who seek for quality this is the best option. The black/dark coloured gums called pigmented gums can also be treated with depigmentation by laser procedure.
