It is cement material, which is used to fill the cavities caused due to dental decay. There are many varieties of cements used for filling of cavity. Based on color, strength, size and position of tooth. It is adapted in cavity with proper instruments, in such a way that it suits your cavity without any discomfort. Wide variety of cements of high quality we maintain at Vivek Dental, you can get best out of them.
It happens due to acidic attack of the germs which flocculate on the tooth surface because of improper oral hygiene. The germs releases acids which inturn damage the properties of tooth structure, which makes it weak. Treatment involves removal of dental caries with sophisticated dental hand piece followed by filling the prepared cavity with appropriate dental filling of your choice. It is a completely painless procedure.
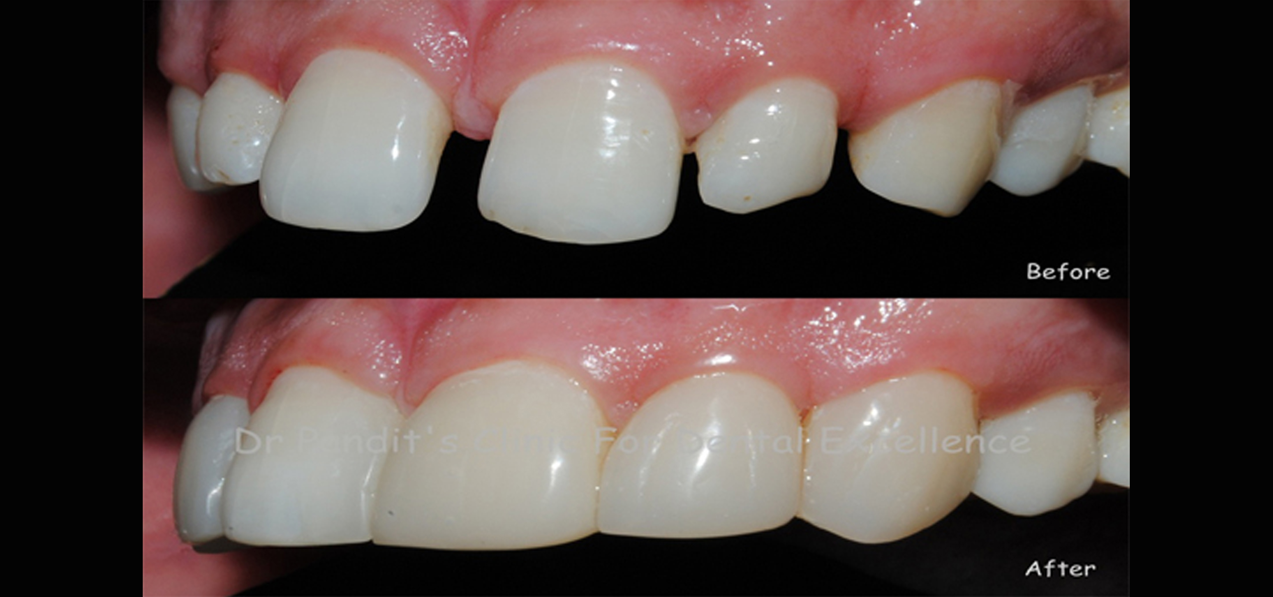
What is Filling?
It is cement material, which is used
to fill the cavities caused due to dental decay. There are many varieties of
cements used for filling of cavity. Based on color, strength, size and
position of tooth. It is adapted in cavity with proper instruments, in such
a way that it suits your cavity without any discomfort. Wide variety of
cements of high quality we maintain at Vivek Dental, you can get best out of
them.
